2026年3月14日     【网站无障碍】   【适老化浏览】
工作动态
当前位置:工作动态  >  院内新闻  >  海南西部中心医院2例神经介入手术获患者好评

海南西部中心医院2例神经介入手术获患者好评

发布时间:2022-06-17        发布者:毛华丰        信息来源:本站



脑血管神经的介入手术精细又危险,一根细细的金属导丝,在血管里穿行,稍有不慎就会失之毫厘差之千里。近日,海南西部中心医院神经内科成功开展2例神经介入手术,得到患者及家属的一致好评。


病例一

男性,76岁。因长期头晕、头昏,来到海南西部中心医院就诊。查超声提示双侧颈动脉重度狭窄,脑血管造影提示左侧颈内动脉百分之九十以上狭窄,右侧颈动脉百分之七十五以上狭窄。据悉,这种患者年脑梗发生率百分之二十以上,急需进行介入手术治疗。

resize,m_lfit,w_120

术前DSA

resize,m_lfit,w_120

神经内科介入团队在术前根据患者实际情况,制订了周密的术前预案,并与患者家属充分沟通,在得到家属支持并同意手术后,为患者实施了左侧颈动脉球囊扩张支架植入术。不到一个小时的时间,手术顺利完成,精确地将支架置于患者左侧颈动脉狭窄处,使其恢复正常血运,成功转危为安。

resize,m_lfit,w_120

术后DSA

resize,m_lfit,w_120

病例二

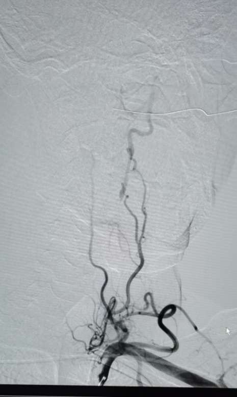
中年男性。因长期头晕,多处求诊均不能明确原因后,来到海南西部中心医院神经内科就诊。经脑血管造影发现患者椎动脉闭塞,右侧椎动脉重度狭窄,小脑、脑干长期缺血。

术前DSA

resize,m_lfit,w_120

考虑到患者病情复杂、预期手术难度高、风险大,神经内科介入团队根据实际情况,为患者置入了全国首款maurora雷帕霉素药物洗脱支架。术后造影显示,其右侧椎动脉狭窄解除,脑供血不足明显改善,患者恢复良好。据悉,此次椎动脉药物洗脱支架置入术属我院首次开展,成功填补了海南西部地区脑血管介入治疗的空白。

据介绍,与传统金属支架相比,药物洗脱支架通过独特的技术将抑制血管内膜增生的化学药物以涂层的形式附着在金属支架表面,既充分利用了金属支架抗血管回缩能力,又达到了缓慢释放药物长效抑制内膜增生的效果,从而提升了患者管腔的长期通畅率,能防止因血管再次狭窄导致的卒中复发,降低患者二次介入治疗的风险。


resize,m_lfit,w_120

术后DSA

resize,m_lfit,w_120

脑卒中是目前我国城乡居民主要疾病死亡构成比中最主要的病因,已经成为我国首位死亡病因,而缺血性卒中(脑梗死)占脑卒中患者的80%左右。有相关研究表明,在无症状人群中,椎动脉开口狭窄、闭塞的发生率为15.4%。而已经出现卒中发病的患者,椎动脉狭窄若未经治疗,5年卒中复发风险达到25%-35%。经过合理、规范的治疗,可以有效降低卒中发病、复发率。

专家提醒,时间就是大脑,脑卒中的救治关键在于抓紧时间,出现症状,一定要及时就医,血管再通的早晚直接影响患者的预后。在全世界范围每6秒钟,就有1人死于卒中。应牢记,出现难平衡、看不清、脸不正、臂不灵、语不灵,立即拨打120!


图片



撰稿:毛华丰

编辑:毛华丰

下一篇:我院人才工作站开展人才月系列活动——兴教助学暨“父爱如山”交流会上一篇:全国科技工作者日:林春晓率队慰问海南西部中心医院医疗科技工作者代表
下载专区     |     版权声明     |     法律责任     |     隐私声明     |     交通指南     |     书记信箱     |     院长信箱
网站备案号:琼ICP备2024024058号  琼公网安备 46900302000013号
地 址:(那大院区)海南省儋州市那大镇伏波东路2号              导诊:0898-23835001    预约挂号:23835002
            (滨海院区)海南省儋州市白马井滨海新区滨海二道     导诊:0898-66624001    预约挂号:66624002
              投诉电话:0898-23836853